Search Videos and More
Showing 1 - 7 of 7 results
Targeted Temperature Management (TTM) in Post-Arrest Care
Benjamin Abella, MD, MPhil, presents relevant clinical information related to Targeted Temperature Management (TTM), as an important therapeutic tool to improve outcomes in unconscious survivors of out-of-hospital cardiac arrest. (1 hour)Hypoxic Ischemic Encephalopathy and the Use of Targeted Temperature Management
This session is being taught by an expert in the field of neonatal hypoxic ischemic encephalopathy (HIE) who has treated a large volume of patients with targeted temperature management (TTM) over the past several years.From Coma to Clarity: The Art and Science of Neuroprognostication
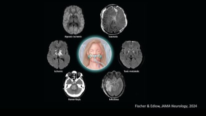
Dr. Fischer describes a framework for reasoning through neuroprognostication in disorders of consciousness, reviewing key principles and the state of the field in prognostic testing.The Goldilocks Approach to Normothermia Management: Not too hot - Not too cold just right!
Mary Kay Bader, RN, MSN, CCNS, FAHA, FNCS presents relevant clinical information associated with brain injuries and the impact temperature has on acute brain injuries. (1 hour)Pediatric Targeted Temperature Management: Time is Brain
Serena Kelly presents relevant clinical information related to Targeted Temperature Management (TTM), as an important therapeutic tool in the care of critically ill pediatric patients.(1 hour)Targeted Temperature Management: Is there a Magic Number?
Benjamin S. Abella, MD, MPhil, FACEP (30 min.), and Mary Kay Bader RN, MSN, CCNS, FNCS, FAHA (30 min.), discuss the body of evidence surrounding TTM, then review the practical side of PCAS (Post Cardiac Arrest Syndrome), describe new trends incorporating current guidelines and requirements, and present case studies. (1 hour)Targeted Temperature Management 101: The Science of TTM for Nurses
Sara E. Salen DNP, MSN, RN, NPD-BC, presents the role of Targeted Temperature Management (TTM) and the physiologic impact of TTM. (1 hour)